Private Ultrasound London - Men's Health Scan

Same Day Testicular Ultrasound Scan London

Ultrasound scan of the testicles and the surrounding scrotum area helps diagnose various symptoms in that male reproductive area of the body, including testicular cancer.

Same day appointments with Senior Doctors, instant ultrasound report and results explained during the appointment.

Professional and Helpful

Private Ultrasound Scans London Icons

Instant Ultrasound Report

All our scans include the instant report and result explanation.

Private Ultrasound Scans London Icons Calendar

Easy Online Booking

Choose the appropriate scan from our list or contact us for advice

NHS Doctor

No Gp Referral Needed

There is no need to contact your GP for a referral to have scans

Private Ultrasound Scans London Icons Baby

Same Day Appointment

Many slots are available on the same day. Call us now

Same Day Testicular Ultrasound Scan

FAQ answered - Testicular Ultrasound Procedure explained

Easy to book - Testicular Scan

What is Testicular Ultrasound scan?

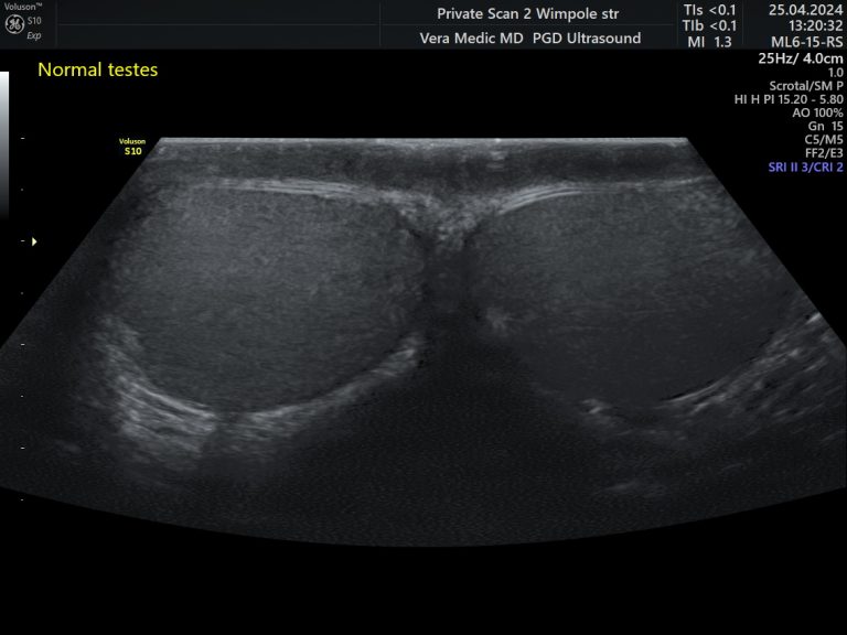
A testicular ultrasound examination, sometimes called a scrotal ultrasound or groin ultrasound scan, is a simple, safe, and pain-free imaging procedure used to assess the male reproductive system. It uses sound waves to produce detailed images of the testicles and the surrounding structures within the scrotum.

This diagnostic scan plays an important role in identifying the cause of various symptoms and medical concerns, including:

  • Pain, discomfort, or swelling in the testicles
  • Detection of testicular lumps, nodules, or cysts
  • Assessment of male fertility issues
  • Diagnosis of testicular torsion, a condition caused by twisting of the spermatic cord
  • Identification of varicoceles, where veins within the scrotum become enlarged
  • Locating an undescended testicle
  • Screening and evaluation for testicular cancer

A testicular ultrasound scan is quick, accurate, and does not involve radiation, making it a trusted and effective diagnostic tool for men of all ages.

How is Testicular Ultrasound scan performed?

Testicular ultrasound scan is entirely safe and painless procedure, which uses high-frequency inaudible sound waves to obtain the insight and the images of the testicles and scrotum area.

Ultrasound probe will gently glide over the area while the client is placed in a comfortable reclining position. A small amount of ultrasound gel is applied to the area and the ultrasound probe then gently glides over it, scanning and recording the images, while the Doctor talks through their findings and explains what is being seen on the big screen.

What will the scan examine?

The ultrasound scan will throughly examine the testicles and the surrounding tissue of the scrotum (the skin pouch that holds the testicles) for any abnormalities.

In case of lumps or cysts- those will be meticulously examined and assessed in order to identify the causes. This would be an important part of a Testicular Cancer Screening.

Special attention will be given to the blood flow to and from the testicles.

Each testicle connects to the rest of the body by a spermatic cord. This tube contains an artery and a vein. The tube also includes the vas deferens, which carries sperm from the testicles to the urethra. Doctor will apply Doppler to assess the blood flow testicles and identify any narrowing or blockages interfering with the flow of semen.

What is included?

  • An immediate and full diagnostic report
  • High resolution digital images
  • Short consultation with the Doctor or Consultant regarding the findings
  • Recommendations on any further steps required

Is someone available at the clinic to discuss further questions/ concerns after the scan?

Yes, an ultrasound specialist Doctor or a Consultant Radiologist will be available to talk to you if you have additional questions or concerns.

What are the preparations for this scan?

No preparations are required for testicular scan.

How easy is to book an appointment?

We introduced an easy and user friendly online booking system for your convenience.

We understand the pressures of our fast-lane lifestyles nowadays and strive to meet your busy schedule by offering a fast-track, same day ultrasound appointments at our private ultrasound clinic in Wimpole Street, London, during weekdays, evenings and Saturdays. 

What is the price?

The cost of testicular ultrasound scan performed by our highly experienced Sonographer is £219.00

We also offer an option of being seen by a male Consultant Radiologist at a cost of £269.00.

We follow your schedule – choose the time that suits you.

 

Ultrasound images are used to help Specialist Consultant Doctors diagnose and advise of treatment for various medical conditions. Ultrasound technology in medicine is not harmful in any way.

by Sonographer

by Consultant Radiologist